Перейти к контенту
Про нас
Послуги
Дитяча стоматологія
Прайс
Команда
Наші роботи
Контакти
Instagram
Facebook-f
+38 067 761 16 16
+38 073 761 16 16
+38 067 761 16 16
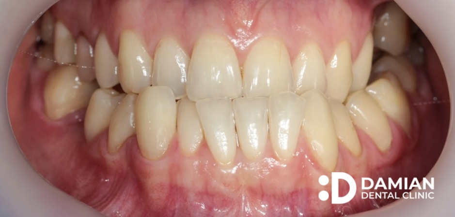
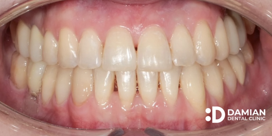
Ортодонтичне лікування скелетної патології прикусу у дорослого пацієнта
Ортодонтичне лікування скелетної патології прикусу у дорослого пацієнта
Навигация по записям
Попередня
Попередня
Тотальна функціонально-естетична реабілітація посмішки